Vừa qua, ngày 07/01, Bệnh viện Quân y 7, Cục Hậu cần - Kỹ thuật, Quân khu 3 thực hiện thành công ca phẫu thuật thay khớp háng trái bán phần cho bệnh nhân Vũ Thị K, 93 tuổi ở TP. Hải Phòng. Đây là một ca mổ phức tạp ở bệnh nhân cao tuổi, thể trạng yếu và có nhiều bệnh nền.
Trước đó, bệnh nhân bị trượt chân ngã tại nhà, sau 3 ngày mới nhập viện trong tình trạng đau nhiều, sức khỏe suy giảm. Với tuổi cao và nhiều bệnh nền như tăng huyết áp, bệnh tim thiếu máu cục bộ mãn tính…, bệnh nhân đã được các bác sĩ tiến hành điều trị để ổn định trước khi phẫu thuật.

Bệnh nhân Vũ Thị K, 93 tuổi ở TP. Hải Phòng sau ca phẫu thuật thay khớp háng trái bán phần
Sau 3 ngày điều trị tích cực, bệnh nhân được chỉ định phẫu thuật thay khớp háng trái bán phần. Đây là một ca phẫu thuật phức tạp, đòi hỏi sự phối hợp nhịp nhàng, chặt chẽ giữa đội ngũ bác sĩ gây mê hồi sức và phẫu thuật viên, cùng hệ thống trang thiết bị hiện đại của bệnh viện. Sau phẫu thuật, hiện tại bệnh nhân tỉnh táo, mạch huyết áp ổn định, không sốt, vết mổ nề nhẹ, được chăm sóc và theo dõi thường xuyên bởi đội ngũ y bác sĩ.

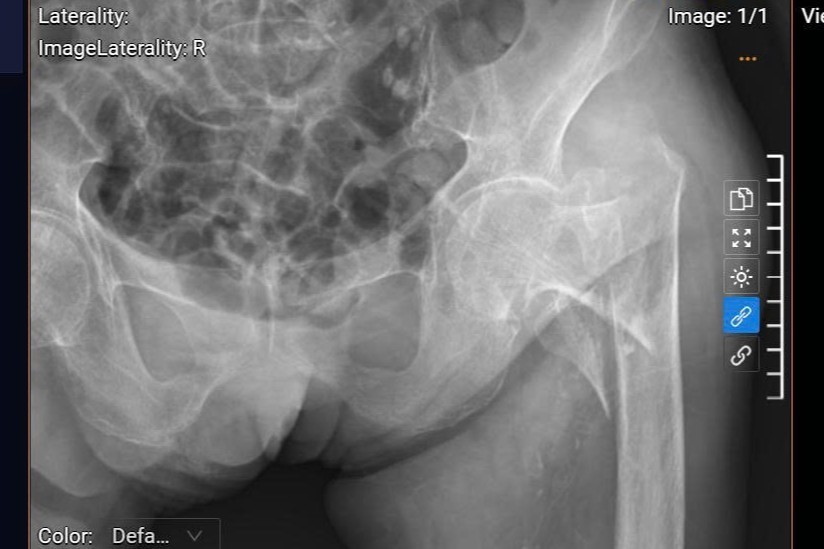
Phim chụp X Quang của bệnh nhân Vũ Thị K, 93 tuổi ở TP. Hải Phòng bị gãy cổ xương đùi trái
Thành công của ca phẫu thuật không chỉ giúp bệnh nhân giảm đau, cải thiện vận động mà còn hạn chế những biến chứng do nằm lâu không vận động (viêm phổi, loét tỳ đè…) nâng cao chất lượng cuộc sống. Đây cũng là minh chứng cho tinh thần tận tâm, hết lòng vì người bệnh cũng như uy tín và năng lực của Bệnh viện Quân y 7 trong lĩnh vực chấn thương chỉnh hình, mang lại niềm tin vững chắc cho bộ đội và nhân dân trên địa bàn.
Truyền thông Bệnh viện Quân y 7